Cardiology

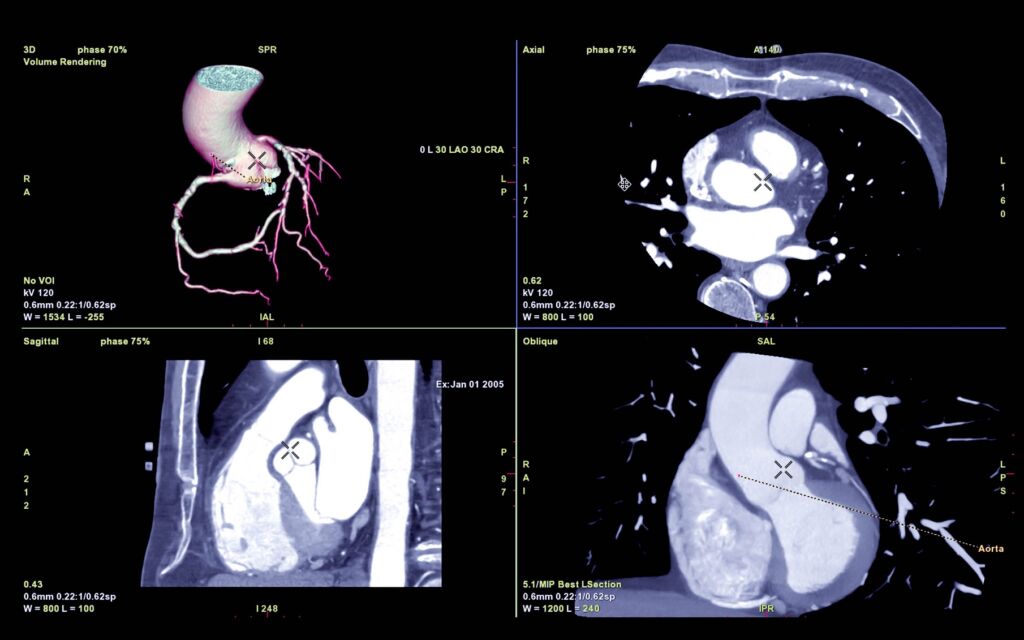
CTA Coronary artery 3D rendering image or coronary tree with axial , sagittal and coronal view for diagnosis of vessel coronary artery stenosis .