Brain Imaging

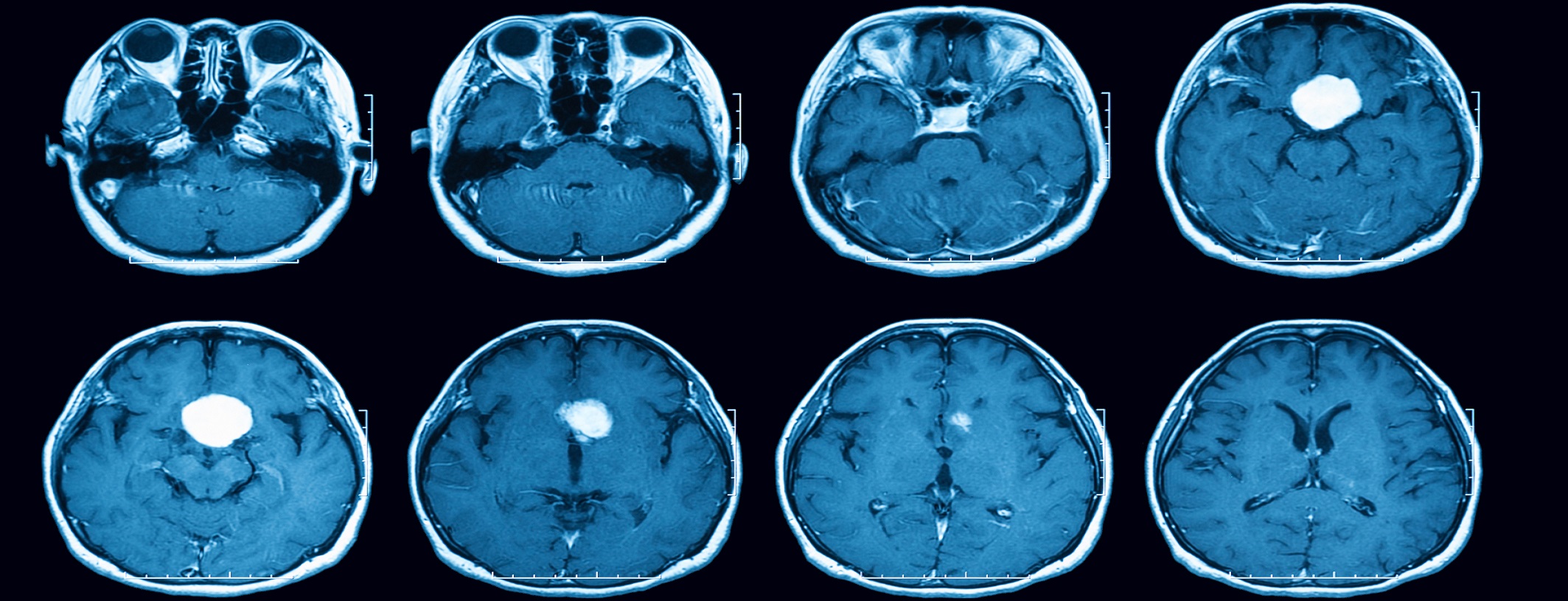
Magnetic resonance imaging (MRI) scan of the brain with gadolinium (GD) contrast medium injections , transverse view, case of pituitary mass

re